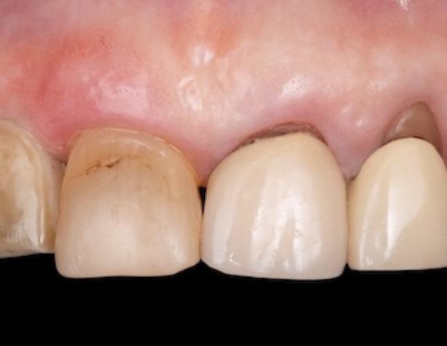
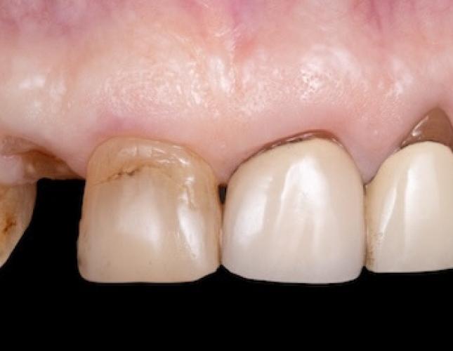
Stuart: Dental Implant

Stuart’s tooth broke three days before he had to travel for a wedding. He was hoping for a solution that would allow him to smile for photos. We were ale to provide him with a unique treatment by extracting his broken tooth and placing an implant the same day! Stuart was so excited to go to the wedding with a full smile.

Stuart
Stuart Before
Stuart After