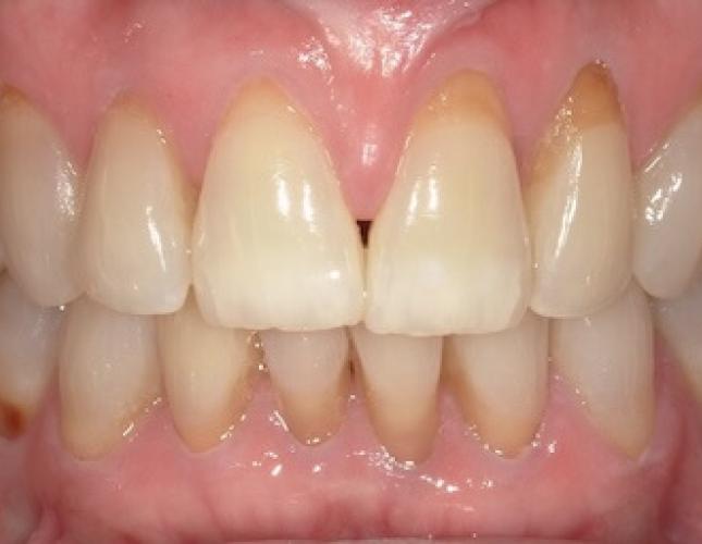
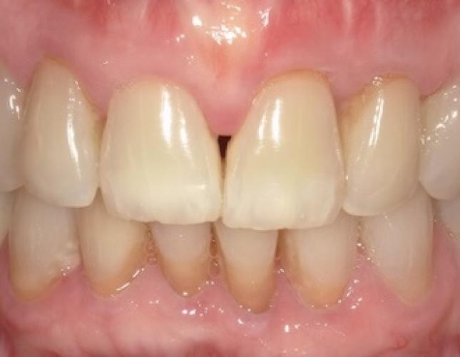
Shari did not like how her teeth looked and wanted to make sure she wasn't going to lose them. She has battled gum and bone issues over the years. After soft tissue grafting, she knows that her teeth are secure. She's also excited that her smile has improved as well!

