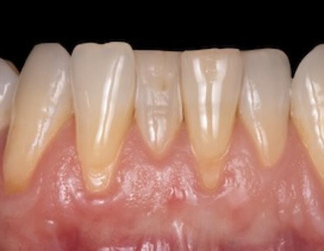
Scott did not like the discoloration and the irregular length of his lower teeth. We worked as a team with his general dentist to create a whiter smile and decrease his gum recession that made his teeth look longer.


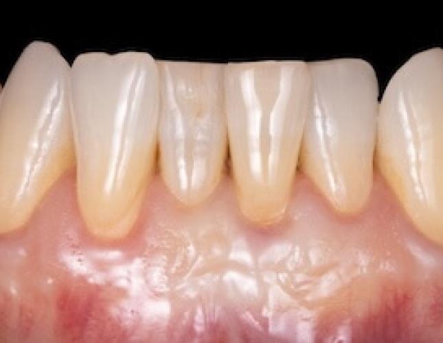
Scott did not like the discoloration and the irregular length of his lower teeth. We worked as a team with his general dentist to create a whiter smile and decrease his gum recession that made his teeth look longer.