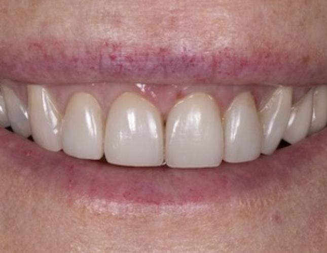
Pamela was unhappy about the gum recession on her front tooth. She has veneers and did not like how uneven her gums looked. We were able to enhance her already beautiful veneers with a gum graft.
Pamela was unhappy about the gum recession on her front tooth. She has veneers and did not like how uneven her gums looked. We were able to enhance her already beautiful veneers with a gum graft.