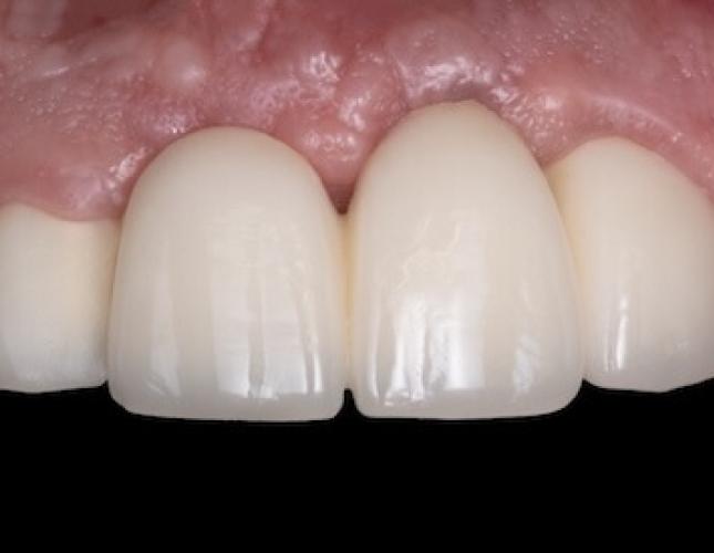
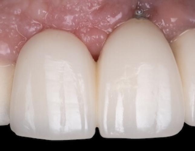
Nick did not like the gray showing on his gums. He had an implant placed a couple years back and started to notice gum recession. We were able to cover up the gray shadowing with a gum graft, and Nick was excited that he can smile again.
Our office will be closed: December 24 - 26; December 31st - January 2nd. We will reopen on Monday, January 5th.
Nick did not like the gray showing on his gums. He had an implant placed a couple years back and started to notice gum recession. We were able to cover up the gray shadowing with a gum graft, and Nick was excited that he can smile again.