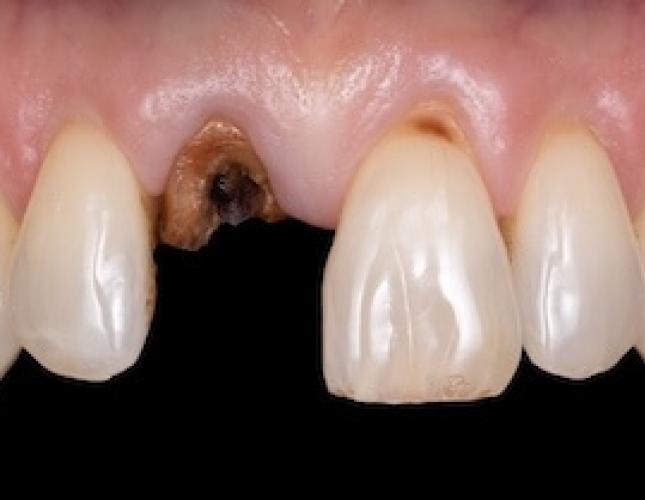
Mike: Dental Implant - Gum Grafting

While eating breakfast, Mike broke his front tooth. Understandably, he wanted something taken care of quickly! We were able to replace his tooth the same day and improved his overall smile with an implant and gum grafting. Now he smiles and chews with confidence!

Mike
Mike Before
Mike after