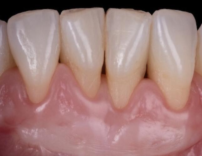
Mary noticed her gums receding for the last couple years which made brushing her teeth difficult. With a gum graft, we were able to improve her gum health, and Mary has been able to brush her teeth with less discomfort!
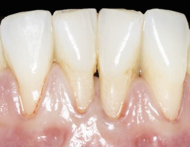
Mary noticed her gums receding for the last couple years which made brushing her teeth difficult. With a gum graft, we were able to improve her gum health, and Mary has been able to brush her teeth with less discomfort!