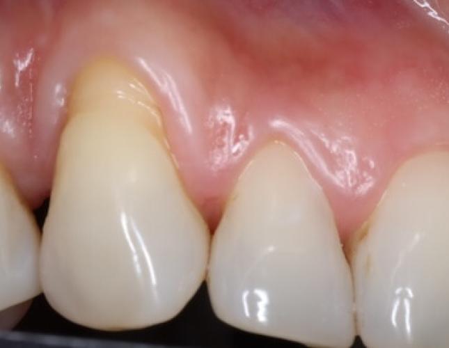
Margret was worried about her gums recessing and felt sensitive when drinking cold water. We were able to correct her gum recession with a gum graft and aided in diminishing her cold sensitivity.


Margret was worried about her gums recessing and felt sensitive when drinking cold water. We were able to correct her gum recession with a gum graft and aided in diminishing her cold sensitivity.