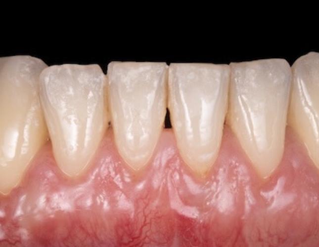
Maddy: Gum Grafting

After getting her braces off, Maddy had beautiful straight teeth, but she noticed gum recession on her lower teeth. This made her worry about the health of her teeth and gums. With a gum grafting procedure, we were able to correct her gum recession and thicken her gums to protect her teeth for a long time.

Maddy
Maddy Before
Maddy After