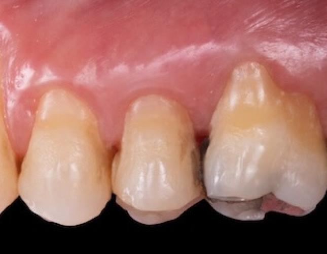
Josh did not like how his teeth looked. He especially did not like his canine - 'It looked so long,' he said. We did a gum graft to correct his gums which not only improved the esthetic of his smile, but also created much healthier gums!
Our office will be closed: December 24 - 26; December 31st - January 2nd. We will reopen on Monday, January 5th.
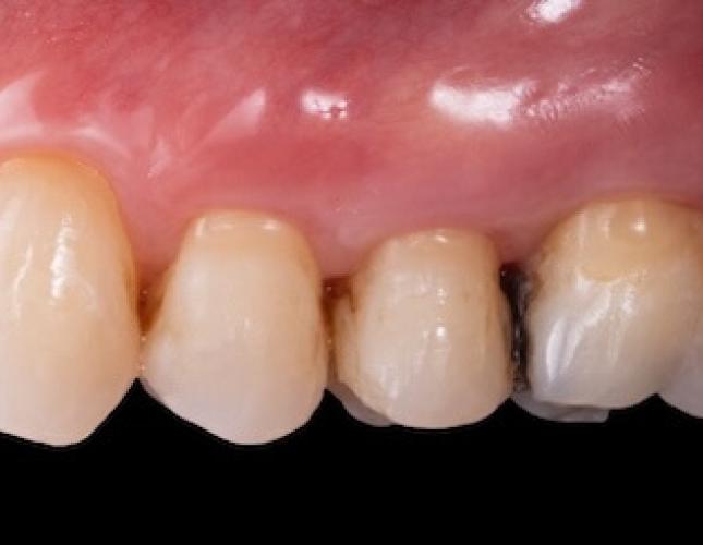
Josh did not like how his teeth looked. He especially did not like his canine - 'It looked so long,' he said. We did a gum graft to correct his gums which not only improved the esthetic of his smile, but also created much healthier gums!