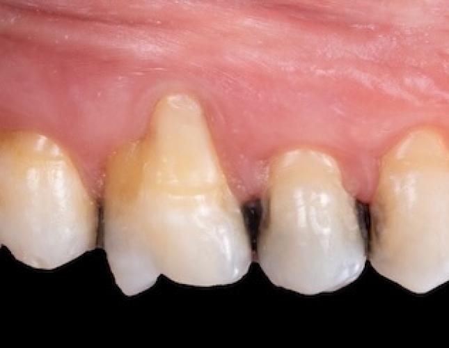
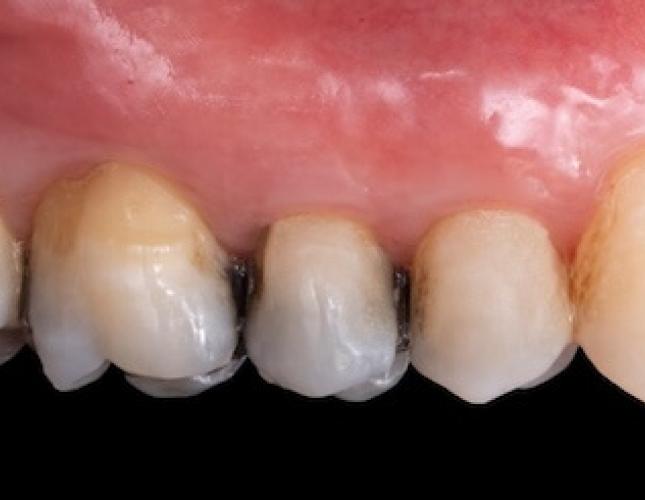
Jeff came to our dental clinic worried about his gum recession. He noticed his gums changing over a period of time and was worried about how long his teeth were starting to look. We were able to correct the gums and improve his overall gum health.


Jeff came to our dental clinic worried about his gum recession. He noticed his gums changing over a period of time and was worried about how long his teeth were starting to look. We were able to correct the gums and improve his overall gum health.