Pamela: Gum Grafting
Before

After

Pamela was unhappy about the gum recession on her front tooth. She has veneers and did not like how uneven her gums looked. We were able to enhance her already beautiful veneers with a gum graft.
Josh: Gum Grafting
Before

After

Josh did not like how his teeth looked. He especially did not like his canine - 'It looked so long,' he said. We did a gum graft to correct his gums which not only improved the esthetic of his smile, but also created much healthier gums!
Josh: (cont'd)
Before

After

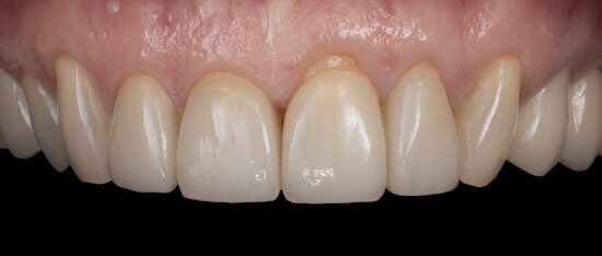
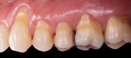
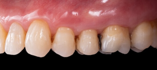
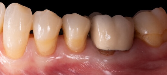
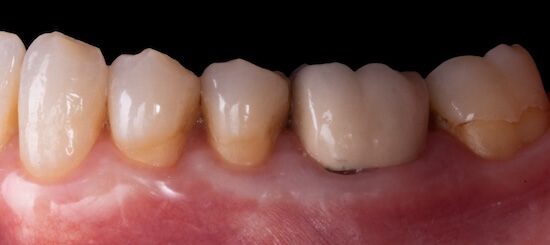
Mike: Dental Implant - Gum Grafting
Before

After

While eating breakfast, Mike broke his front tooth. Understandably, he wanted something taken care of quickly! We were able to replace his tooth the same day and improved his overall smile with an implant and gum grafting. Now he smiles and chews with confidence!
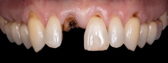
Justin: Bone Grafting - Dental Implants
Before

After

Justin came to us after a car accident left him without several teeth, feeling self-conscious about his smile. With a combination of bone grafting and dental implants, we were able to restore both his confidence and his natural-looking smile. Josh was thrilled with the transformation and couldn’t wait to show off his new smile to friends and family.
Daren: Anterior Implant
Before

After

Daren had a beautiful smile. Unfortunately, he had an accident that cracked his tooth among other injuries. Although nobody ever wants to lose a tooth, Daren was overjoyed when we could restore his smile to even more beautiful than it was before.
Brycee: Esthetic Crown Lengthening
Before

After

Brycee was self-conscious about her uneven and gummy smile for many years. She came to us to see if there was something she could do about it. A simple procedure made a life-changing result for her. Now she smiles with confidence, and can’t stop showing off her smile!
Jessica: Soft Tissue Grafting - Alloderm
Before

After

Jessica came to us with a major gum problem. In fact, she was at risk of losing her teeth. Fortunately, we caught it in time with gum recession treatment. We were able to rebuild the support that should last her a lifetime.
Pam: Hybrid (implant supported denture)
Before

After

Pam knew that she was going to lose all of her teeth, but had put off getting dental implants to replace them because she was scared of the procedure. She is now enjoying her new smile, and wonders why she ever waited to get it done. “I wish I had done this years ago!”
Travis: Soft Tissue Grafting - Connective Tissue Graft
Before

After

Travis knew he had to take care of his gum problem. He went to another Periodontist years ago, and had a lot of pain after the procedure. He was pleasantly surprised to find that the experience is much easier now, and he loved the results!
Pagination
Get a brighter smile today!
Contact us now to schedule your appointment and have the smile you've dreamed about!