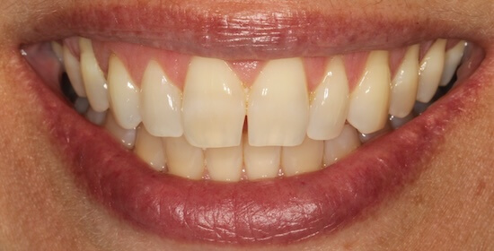
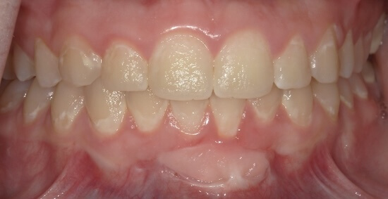
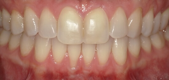
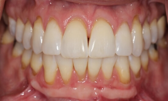
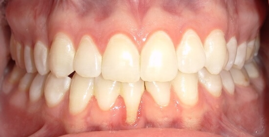
Melinda: Treatment with Alloderm
Before

After

Melinda didn’t like that when she smiled, her teeth didn’t “look natural.” Melinda noticed that her teeth were getting longer. After treatment with Alloderm, we were able to achieve coverage that improved the balance of her smile, making her teeth appear shorter and more natural. Now, Melinda can smile with confidence knowing her gums and teeth look (and feel) healthier!
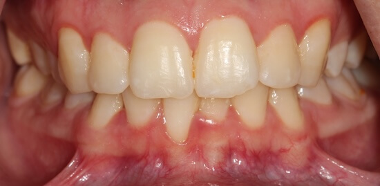
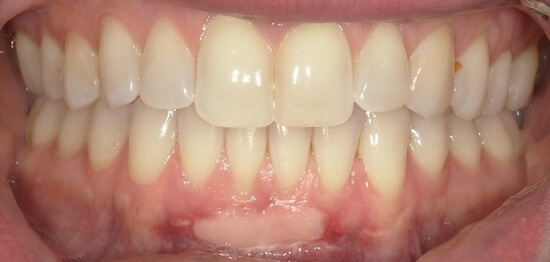
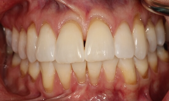
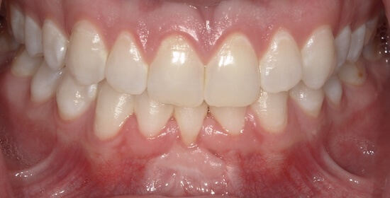
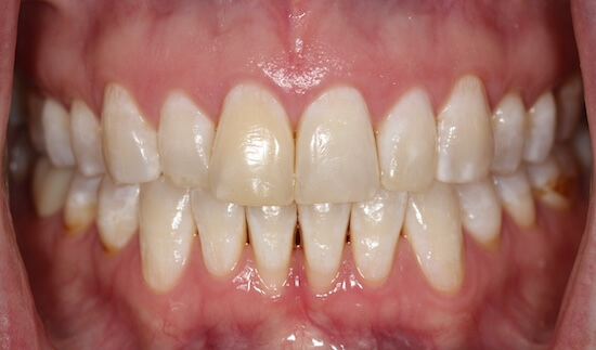
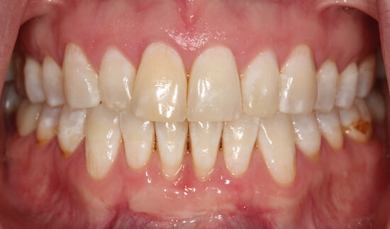
Sehar: Crown Lengthening
Before

After

Sehar didn’t like how her smile looked because her teeth looked small. She felt like her teeth looked like a young child’s. After Crown Lengthening, she feels more confident and loves her new smile!
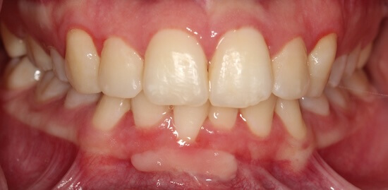
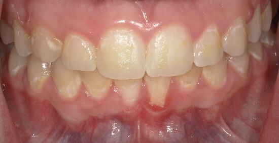
Jerome: Crown Lengthening - Crowns Placed
Before

After

Jerome had issues for many years with his bite. His teeth were breaking, and his bite never felt right. After having Crown Lengthening and Crowns placed, Jerome can bite and chew with confidence. He feels like a new person with his new smile.
Ayanna: Crown Lengthening
Before

After

Ayanna didn’t like how her teeth looked. She felt they were too short, and she was embarrassed to smile. After Crown Lengthening, she smiles wide for everyone to see!
Alexis: Free Gingival Graft
Before

After

Alexis noticed that one of her bottom front teeth was longer than the other, and it was continuing to progress. After a Free Gingival Graft, Alexis knows her tooth is surrounded by strong gum tissue, and any damage is stopped in its tracks.
Aubrey: Free Gingival Graft
Before

After

Aubrey’s gums were bleeding when she brushed, and her gums would feel irritated as well. Now her gums don’t bleed, and they feel better. Aubrey is more confident knowing that a Free Gingival Graft is protecting that area.
Colleen: Free Gingival Graft
Before

After

Colleen felt the gums in front of her lower front teeth were thin and saw them starting to recede. She wanted to have this addressed fully, so she had a Free Gingival Graft performed. She feels the gum tissue is thicker and will prevent any recession in the future
Crista: Free Gingival Graft
Before

After

Crista has known for many years about her gum issues and wanted to do anything she could to keep her natural teeth. Crista feels better knowing a Free Gingival Graft is supporting her teeth.
Dante: Free Gingival Graft
Before

After

Dante was worried he would lose his front tooth because of his gum recession and knew he had to do something about it. Dante decided to have a Free Gingival Graft performed. Dante notices the improved quality of tissue in the area and can feel that it is healthier.
Laurel: Free Gingival Graft
Before

After

Laurel didn’t like that her gum tissues were often irritated and didn’t feel strong. After a Free Gingival Graft, Laurel feels an improvement in the quality of tissue and is more confident in her smile.
Pagination
Get a brighter smile today!
Contact us now to schedule your appointment and have the smile you've dreamed about!