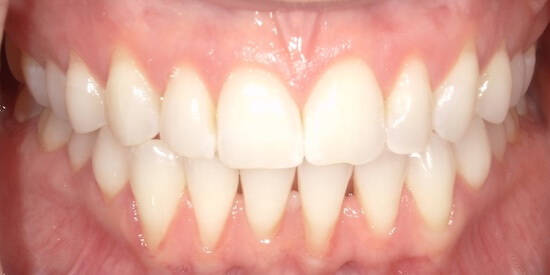
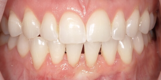
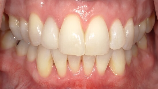
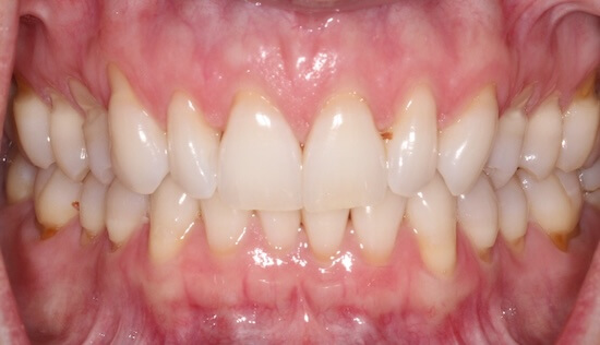
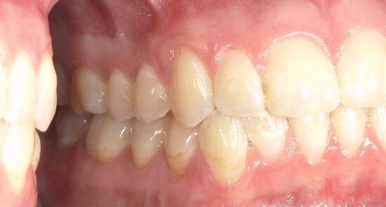
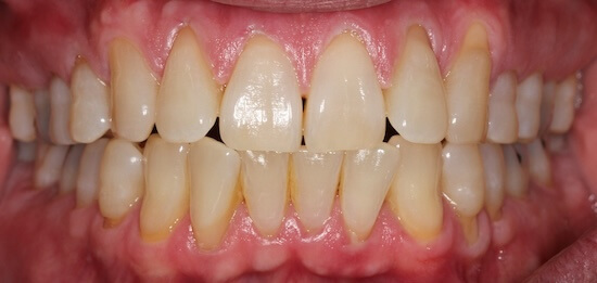
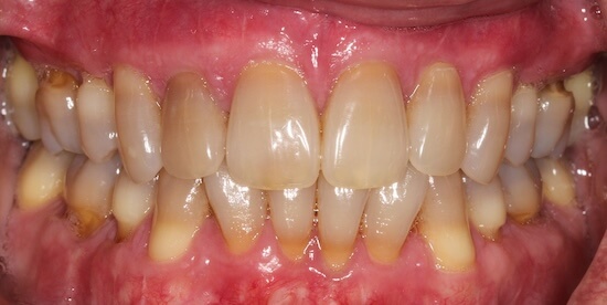
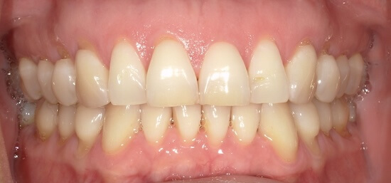
Haleigh: Soft Tissue Grafting
Before

After

Haleigh was worried some of her teeth would need to be removed because of how much her gums had receded. After soft tissue grafting, she is ecstatic because not only are the teeth protected, but much of the damage has been reversed.
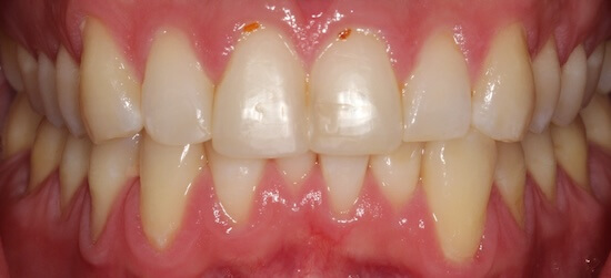
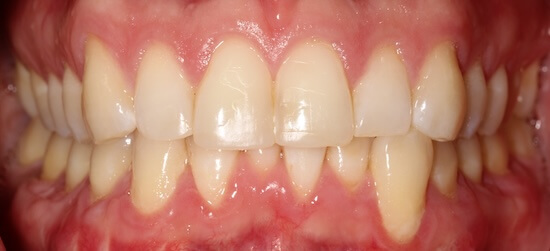
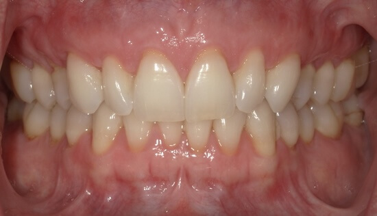
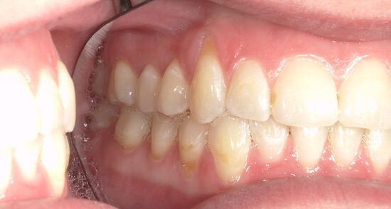
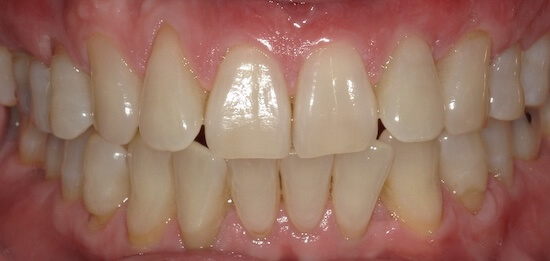
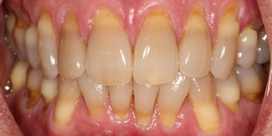
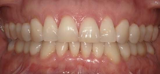
Jeffrey: Soft Tissue Grafting
Before

After

Jeffrey has known for many years he needed to have his gums looked at, and that the receding gums were only getting worse. Jeffrey had soft tissue grafting performed to take care of the issue. Jeffrey was relieved to find out that not only could we save his teeth but could reverse the damage that had been caused over the years.
Justina: Gum Grafting
Before

After

Justina noticed that her teeth were getting longer, and her gum tissues irritated very easily. After full healing from gum grafting, Justina notices less irritation, more of the roots are covered, and the tissue is more robust. She has confidence that her teeth are protected, and her gums are strong so this issue won’t happen again.
Kristi: Alloderm Grafting - Palatal Connective Tissue Grafting
Before

After

Kristi has been self-consious for years about her “long teeth” and began to notice she was getting hot and cold sensitivity as well. She was worried that there were no options available because of how may teeth needed work done. After treatment with Alloderm and Palatal Connective Tissue Grafting, Kristi is more confident in her smile, feels better, and rests assured that her teeth are protected.
Leah: Soft Tissue Grafting
Before

After

Leah put off getting her receding gums treated for years because she was worried about the procedure. After soft tissue grafting, Leah loves how her teeth look and feel!
Paul: Soft Tissue Grafting
Before

After

Paul was noticing that his teeth were getting longer, and he was concerned about it getting worse. Paul is happy now that his teeth not only look better after soft tissue grafting, but they are better supported so receding gums won’t happen again.
Sam: Soft Tissues Grafting
Before

After

Sam knew the changes with his teeth and gums were becoming an issue because he could see them getting longer. Sam feels confident after soft tissue grafting because he knows the support is there to protect his teeth for a lifetime.
Yenis: Soft Tissue Grafting
Before

After

Yenis only began to notice her receding gums when it was pointed out to her at a dental cleaning visit. Realizing the extent of the damage and options to fix it, Yenis elected to have a soft tissue graft performed. Yenis is thankful knowing that her gums are healthy likes to show off her new smile every chance she gets!
Scott: Implant-Supported Denture
Before

After

Scott struggled with his teeth for many years following an auto accident, and he didn’t like his smile. Scott wanted to do something about it, so he elected to get dental implants and dentures. Scott feels like a new person and has the smile to prove it!
Teresa: Implant - Supported Denture
Before

After

Teresa always struggled with toothaches and lots of pain. She didn’t like to smile because she was embarrassed about how her teeth looked. After dental implants and dentures, she feels better about herself and has no pain. She now smiles with confidence with her new teeth!
Pagination
Get a brighter smile today!
Contact us now to schedule your appointment and have the smile you've dreamed about!