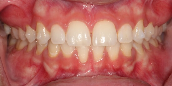
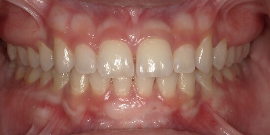
Lauren: Free Gingival Graft
Before

After

Lauren had worked in dentistry for many years, and she knew something was wrong with her gums. She knew it could be corrected with a Free Gingival Graft. Now she’s always smiling, knowing her teeth are protected. She even shows off her graft to her friends!
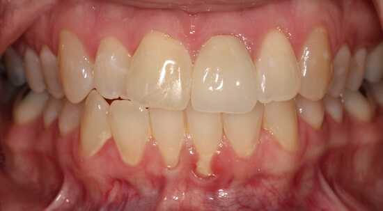
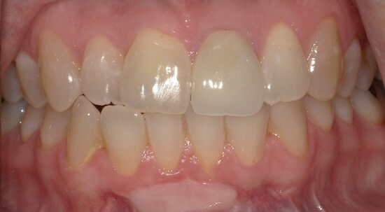
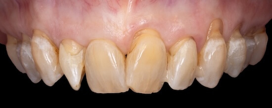
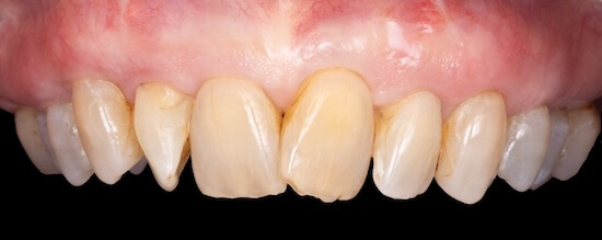
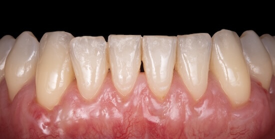
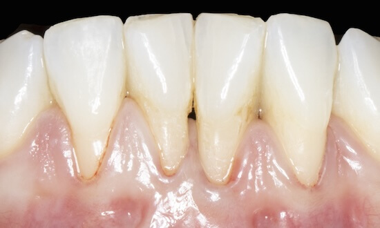
Patricia: Free Gingival Graft
Before

After

Patricia thought her lower front tooth was infected because the gums around it were irritated and would bleed. After her Free Gingival Graft, the irritation and bleeding is gone. Patricia raves about how her gums feel now.
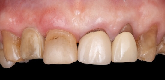
Sarah: Gum Grafting
Before

After

When Sarah came in, she was concerned about gum recession and how it affected her smile. Using a soft tissue graft with an allograft, we were able to restore her gum line and improve the overall appearance of her teeth. Sarah was delighted with the natural look and renewed confidence her new smile brought her.
Stuart: Dental Implant
Before

After

Stuart’s tooth broke three days before he had to travel for a wedding. He was hoping for a solution that would allow him to smile for photos. We were ale to provide him with a unique treatment by extracting his broken tooth and placing an implant the same day! Stuart was so excited to go to the wedding with a full smile.
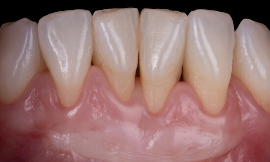
Maddy: Gum Grafting
Before

After

After getting her braces off, Maddy had beautiful straight teeth, but she noticed gum recession on her lower teeth. This made her worry about the health of her teeth and gums. With a gum grafting procedure, we were able to correct her gum recession and thicken her gums to protect her teeth for a long time.
Harry: Bone Grafting - Dental Implants
Before

After

Harry is a prominent business owner and always felt self-conscious about his smile. Now, after a bone rebuilding process (bone grafting) and dental implants, he is able to talk with clients and build his business with a newfound confidence.
Mary: Gum Grafting
Before

After

Mary noticed her gums receding for the last couple years which made brushing her teeth difficult. With a gum graft, we were able to improve her gum health, and Mary has been able to brush her teeth with less discomfort!
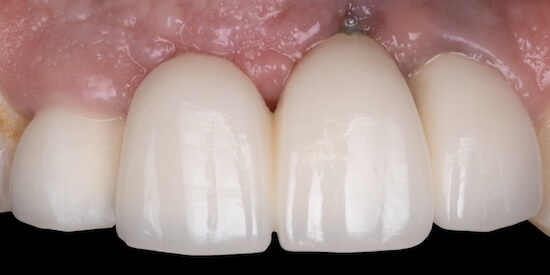
Angela: Esthetic Crown Lengthening
Before

After

Angela always felt like she had to hide her “gummy smile.” Performing an esthetic crown lengthening procedure allowed Angela to smile without worrying about her gums. She now has a well-balanced and esthetic smile!
Yoli: Dental Implants
Before

After

Yoli was missing multiple teeth and was wishing for a smile makeover. With extraction of her remaining teeth and implant placement, we were able to send our patient home with an immediate temporary denture that rested on her new implants. Yoli was able to smile again the same day of her surgery!
Nick: Gum Grafting
Before

After

Nick did not like the gray showing on his gums. He had an implant placed a couple years back and started to notice gum recession. We were able to cover up the gray shadowing with a gum graft, and Nick was excited that he can smile again.
Pagination
Get a brighter smile today!
Contact us now to schedule your appointment and have the smile you've dreamed about!